Dr. Jay’s Holistic Approach
Looking for a dentist who combines the latest technology with natural, metal-free treatments?
Dr. Jay is a biological and holistic dentist, offering same-day ceramic crowns for strong, natural-looking teeth. Need a durable and biocompatible tooth replacement? Zirconia implants can help. Concerned about breathing and sleep issues? Airway-focused dentistry helps both kids and adults. Want a natural way to fight bacteria and promote healing? We are a metal free , flouride free and Mercury free office. Ozone therapy supports optimal oral health. Experience the best of both science and nature for a healthier, happier smile!
Holistic, Biological & Natural Dentist in USA
Metal-Free Zirconia Implants
- Metal-Free & Biocompatible
- Strong & Durable
- Minimally Invasive Procedure
Metal-Free Zirconia Implants
Oral appliances to treat sleep apnea
Minimizes gag reflex and muscle tension.
Oral appliances to treat sleep apnea
Airway Dentistry
Treats sleep apnea and enhances jaw alignment.
airway dentistry
CAD/CAM
Strong, natural-looking crown in just one visit!
same day crowns

Dr. Krithika Jayaprakash
Dr. Krithika Jayaprakash (DDS, FAGD, IBDM)
Dr. Jay got her FAGD from Academy of General Dentistry and is one of the 6% dentists who got the fellowship award in the country.
Dr. Jay has committed herself to treating patients of all ages and needs. She enjoys dentistry and her goal is to deliver excellent dental care to all her patients. She works with patients to understand their comfort level and makes every effort possible to ensure patients have a good experience every time they visit. She is always integrating the latest technology in dentistry while offering a reassuring and caring approach.





Before & After Transformations
Dr. Jay does ALF and Myobrace appliances on patients. Here are some of the before and after pictures of the patients undergoing treatment are below:

Before
Before - Narrow and collapsed bite

After
After - Wide smile and balanced bite

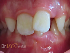
Before
Before - Severe crowding

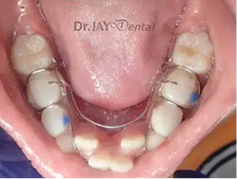
After
After - Expansion of upper and lower jaws to accommodate all teeth

Before
Before - Crowding and narrow arch

After
After - Crowding resolved and wider arch form











